PET-CT from Siemens Healthcare used in ground-breaking heart disease research: innovations-in-pet-ct-full-size.jpg

23 Dec 2013

PET-CT from Siemens Healthcare used in ground-breaking heart disease research

The University of Edinburgh is leading the way in heart disease research with the help of a Biograph mCT™ PET-CT system from Siemens Healthcare.

Frimley, 2013-Dec-19

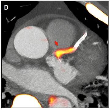
The plaque areas in the blood vessels were easily identifiable by using the Biograph mCT™ and tracers by lighting up as yellow on the resulting image.

The University of Edinburgh is leading the way in heart disease research with the help of a Biograph mCT™ PET-CT system from Siemens Healthcare. A new study, funded by the British Heart Foundation (BHF) and Chief Scientist Office was recently published in The Lancet1. It has found that using the tracer 18F-sodium fluoride (¹⁸F-NaF) with PET-CT is the first non-invasive imaging method to identify and localise ruptured and high-risk coronary plaque.

Cardiovascular disease is the UK’s biggest killer and 200 people die each day from a heart attack2. There is currently no non-invasive way of finding high-risk plaques at risk of rupturing and causing a heart attack. Imaging innovations from Siemens Healthcare are providing the technology to gain new insights and develop new clinical research into early diagnosis of the condition.

In the prospective clinical trial, patients with myocardial infarction and stable angina underwent 18F-NaF and 18F-fluorodeoxyglucose (¹⁸F-FDG) PET-CT and invasive coronary angiography. ¹⁸F-NaF uptake was compared with histology in carotid endarterectomy specimens from patients with symptomatic carotid disease, and with intravascular ultrasound in patients with stable angina. The primary endpoint was the comparison of ¹⁸F-fluoride tissue-to-background ratios of culprit and non-culprit coronary plaques of patients with acute myocardial infarction.

In 93 per cent (37) of patients with myocardial infarction, the highest coronary ¹⁸F-NaF uptake was seen in the culprit plaque. By contrast, coronary ¹⁸F-FDG uptake was commonly obscured by myocardial uptake and where discernible, there were no differences between culprit and non-culprit plaques. Marked ¹⁸F-NaF uptake occurred at the site of all carotid plaque ruptures and was associated with histological evidence of active calcification, macrophage infiltration, apoptosis, and necrosis. 45 per cent (18) of patients with stable angina had plaques with focal ¹⁸F-NaF uptake that were associated with more high-risk features on intravascular ultrasound than those without uptake.

The plaque areas in the blood vessels were easily identifiable by using the Biograph mCT. In the patients with angina, advanced notice that they had high-risk plaques and a heart attack may be imminent. These patients could then be targeted with aggressive therapy in order to try and avoid future events.

“Being able to identify dangerous fatty plaques likely to cause a heart attack is something that conventional heart tests can’t do. This research suggests that PET-CT scanning may provide an answer, identifying ‘ticking time bomb’ patients at risk of a heart attack,” states Professor Peter Weissberg, Medical Director at the British Heart Foundation. “Nearly 20 years of BHF-funded research has led us to this point. We now need to confirm these findings, and then understand how best to use new tests like this in the clinic to benefit heart patients.”

BHF Clinical Lecturer and Cardiologist Dr. Marc Dweck, who led the research at the University of Edinburgh states, “We have developed what we hope is a way to ‘light up’ plaques on the brink of rupturing and causing a heart attack. If we could know how close a person is to having a heart attack, we could step in with medication or surgery before the damage is done. This is a first step towards that goal. The next stage is to confirm these findings in larger studies to establish first that this technique can truly predict heart attacks and secondly that treatment can help patients avoid these events.”

“Siemens Healthcare is delighted that the Biograph mCT is aiding ground-breaking research into the UK’s biggest killer - heart disease,” states Lawrence Foulsham, Business Manager Molecular Imaging at Siemens Healthcare. “The condition is a clinical priority for the UK, therefore advancements in this field are incredibly important. We have a long-standing partnership with the Clinical Research Imaging Centre at the University of Edinburgh and look forward to assisting them with further clinical research insights into the future.”

The Clinical Research Imaging Centre at the University of Edinburgh installed the Biograph mCT in 2010.

Notes to editors:

1. 18F-fluoride positron emission tomography for identification of ruptured and high-risk coronary atherosclerotic plaques: a prospective clinical trial. Joshi et al. The Lancet. October 2013. DOI 10.1016/S0140-6736(13)61754-7. Full paper here: http://press.thelancet.com/18FNaF.pdf

2. Coronary Heart Disease Statistics, A compendium of health statistics,

2012 edition. British Heart Foundation Health Promotion Research Group Department of Public Health, University of Oxford. Accessed via http://www.bhf.org.uk/publications/view-publication.aspx?ps=1002097

Contact for journalists:

Siemens plc

Laura Bennett, phone: 01276 696374

E-mail: laura.bennett@siemens.com

Media Safari

Marc Gossage / Holly Wale, phone: 01225 471202

E-mail: hollyw@mediasafari.co.uk

For further information and press pictures, please see: www.siemens.co.uk/press

Follow us on Twitter at: www.twitter.com/siemensuknews

The Siemens Healthcare Sector is one of the world's largest suppliers to the healthcare industry and a trendsetter in medical imaging, laboratory diagnostics, medical information technology and hearing aids. Siemens offers its customers products and solutions for the entire range of patient care from a single source – from prevention and early detection to diagnosis, and on to treatment and aftercare. By optimising clinical workflows for the most common diseases, Siemens also makes healthcare faster, better and more cost-effective. Siemens Healthcare employs some 51,000 employees worldwide and operates around the world. For further information please visit: http://www.siemens.co.uk/healthcare.

British Heart Foundation

Coronary heart disease is the UK’s single biggest killer. For over 50 years we’ve pioneered research that’s transformed the lives of people living with heart and circulatory conditions. Our work has been central to the discoveries of vital treatments that are changing the fight against heart disease. But so many people still need our help. From babies born with life-threatening heart problems to the many Mums, Dads and Grandparents who survive a heart attack and endure the daily battles of heart failure. Every pound raised, minute of your time and donation to our shops will help make a difference to people’s lives.

For more information, visit bhf.org.uk

Chief Scientist Office

CSO, part of the Scottish Government Health and Social Care Directorates, supports and promotes high quality research aimed at improving the quality and cost-effectiveness of services offered by NHS Scotland and securing lasting improvements to the health of the people of Scotland.

CSO supports research initiated by the research community in Scotland and advises the Scottish Government on how research contributes to improvements in health and healthcare. CSO’s research strategy “Investing in Research: Improving Health” sets out our aims for 2010-14 and features changes to give greater emphasis to funding experimental and translational medicine research and health services and health population research. We also aim to deliver value for money through partnerships with other funding agencies and to foster Scotland-wide working.

For more information visit www.cso.scot.nhs.uk


About Siemens